ALLO DENT
Dr Lamia Oudas
Modern dental care with advanced technology and a patient-first approach.
Over 500 satisfied patients
About us
Your Journey to a Healthier Smile Begins Here
At Centre dentaire Allo Dent – Dr Lamia Oudas, we are committed to delivering professional, reliable, and modern dental care.
Our mission is simple:
Make dental treatment accessible, comfortable, and effective for everyone.
We believe that a beautiful smile is not just about appearance it’s about confidence, health, and quality of life.
Our clinic is built on:
Patient trust and transparency
Advanced dental technology
Personalized care for every patient
Strict hygiene and safety standards
Our Services
Complete & Modern
Dental Care
We offer a full range of dental services using the most advanced technologies available.
Our Dental Services
General Dentistry
Orthodontics
Oral Surgery
Cosmetic Dentistry
Dental Implants
Emergency Care
How it works
What We Do for Your Teeth
We are committed to sustainability. Our clinic practices eco-friendly initiatives like digital records to reduce paper waste and energy-efficient equipment.
Book an appointment
Book an appointment
Book an appointment
OUR DOCTOR
Dr. Lamia Oudas
Dental Surgeon
Passionate about modern dentistry, Dr. Lamia Oudas brings her expertise and gentleness to the service of your oral health. Graduating with excellence, she continuously trains in the latest techniques to offer you the best possible care.
At ALLO DENT, every patient is unique. Our personalized approach and warm environment ensure a calm and pleasant dental experience for the whole family.
15+ Yrs
Certified Excellence
Expert
Ongoing Training
6 days /7
Availability
100%
Human Approach
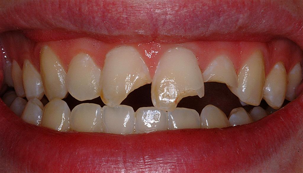
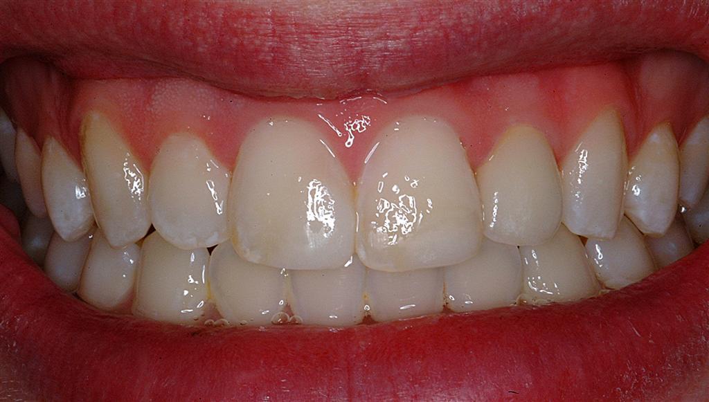
our Work
We work with love to see you Smile with Confidence

testimonial
What our
Client Say
We are committed to sustainability. eco-friendly initiatives.
Amina El Fassi
I had a great experience at ALLO DENT Clinic. Dr. Lamia Oudas is very gentle and professional. I was nervous at first, but she explained everything clearly and made me feel comfortable. Highly recommended
Youssef Benali
Excellent service from start to finish. The clinic is clean and modern, and Dr. Lamia Oudas is very skilled. My dental treatment was painless and quick. I’m very satisfied.
Fatima Zahra Boulahya
I went for a teeth whitening session and the results were amazing. Dr. Lamia Oudas really cares about her patients and gives honest advice. I will definitely come back.
Hamza Idrissi
Very professional team at ALLO DENT Clinic. Dr. Lamia Oudas fixed my tooth perfectly. The staff is welcoming and the atmosphere is relaxing. Thank you!
Salma Cherkaoui
I had a dental emergency and they handled it بسرعة وباحترافية. Dr. Lamia Oudas is truly experienced and kind. I felt safe during the whole treatment.
Mehdi Ouazzani
One of the best dental clinics I’ve visited. Dr. Lamia Oudas pays attention to details and makes sure everything is done perfectly. I highly recommend ALLO DENT Clinic
